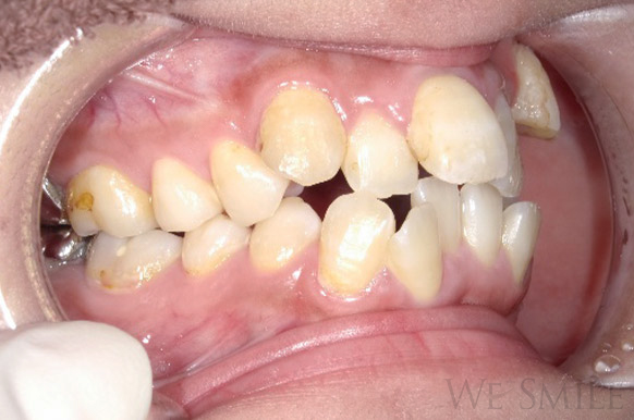
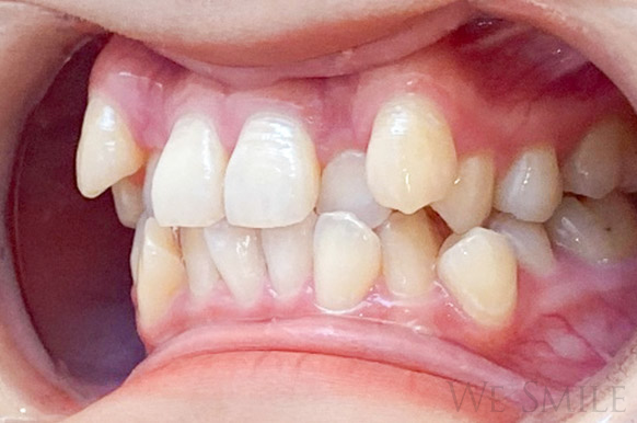
高木 健一Kenichi Takagi
【経歴】
- 日本大学松戸歯学部 卒業
- ケンデンタルクリニック 開業
- 医療法人社団 健誠会 開設
- ケンデンタルクリニック江南院 開院
- Kファミリー歯科 開院
- ケンデンタルクリニック犬山院 開院
- IDC国際歯科クリニック 開院
- ケンデンタルクリニック岐阜院 開院
- ケンデンタルクリニック岐阜 モレラ院 開院
【資格・所属学会・団体】
- 医療法人社団 健誠会 理事長
- 日本歯科審美学会 会員
- 顎咬合学会 会員
- 日本歯科医師会 会員
- 愛知県歯科医師会 会員
- 小牧市歯科医師会 会員
- 小牧氏 三州北幼稚園 園医
- ミス日本中部北陸地区大会
実行委員 審査員






















































