- 岡山駅徒歩6分
- 駐車場完備
LINE 相談
最短3か月の矯正治療
23.1 万円〜 (税込)

月額3,000円〜も可
information


矯正「専門医」が在籍
300症例以上の実績あり
部分矯正から全体矯正まで対応


同じ症例で、 経験が浅いDrと
熟練Drの 治療期間の比較を
してみました。

治療期間
2年半
で終了
× 90枚
治療期間
1年
で終了
× 30枚
同じ症例であっても算出される マウスピースの数が異なり 治療期間に 1年6ヵ月の差が出ました。
これが 「 担当医の 実力の差 」
です。
CASES
※ 写真中央のスライダを左右にドラッグして画像を比較できます

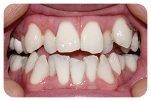
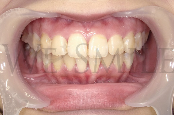
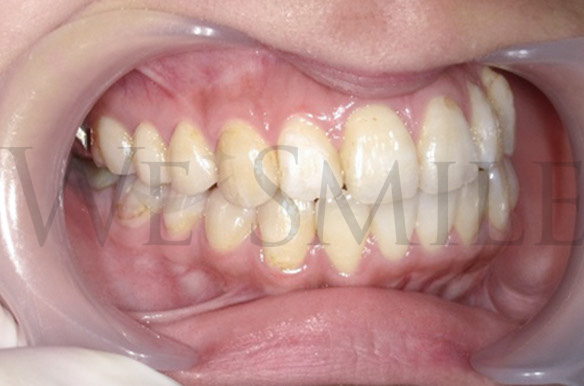
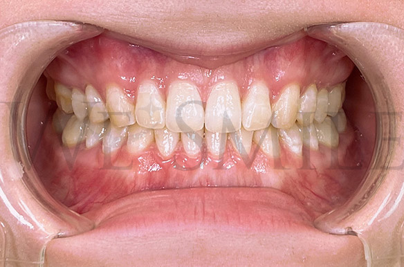
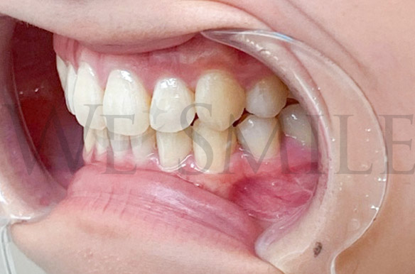
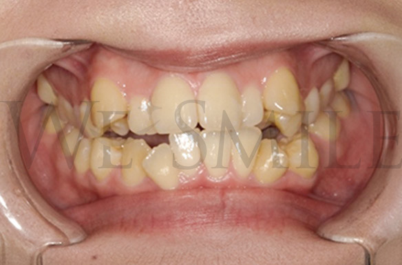
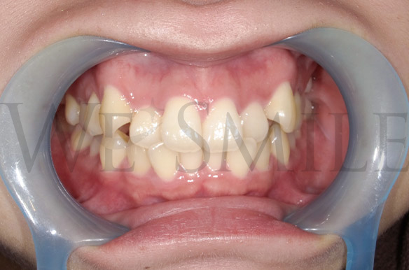
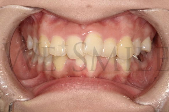
叢生の症例をマウスピース矯正で整えたケース

叢生・八重歯をマウスピース矯正で整えたケース

前歯がかみ合わない症例をマウスピース矯正で整えたケース

出っ歯をマウスピース矯正で整えたケース

正中のズレと開咬をマウスピース矯正で改善

矯正後に後戻りした歯並びをマウスピース矯正で改善



どうせならもっと キレイになりたい!
適応症例は限定されますが Eライン ・ アデノイド顔貌 も整うことがあります!

キレイなEラインを
手に入れられることも!
Eラインとは、鼻先と顎先のラインのことです。このラインが獲得できると、バランスの整った顔立ち(フェイスライン)になります。かわいい、キレイ、かっこいい顔立ちですね。当院では、ただ歯をキレイの並べるだけでなく、顔貌の見た目も意識した矯正歯科治療を行います。
※適応症例は限定されます。

受け口の方、叢生の方、出っ歯の方のEライン、口ゴボ改善を目指します。

他院で 失敗したらどうすれば…
とイメージされるかと思います。
せっかく、矯正歯科治療を行ったのに、矯正治療の本来の目的(美しい歯並び/噛み合わせ/顔貌変化)が達成できないまま、矯正治療を諦めてほしくありません。 可能な限り少ない負担で再矯正をご提案いたします。相談は「 無料」で行っていますので、まずはご相談ください。
相談無料+調整料=0円 患者さん負担を最小限に!
トータルフィー制度 追加料金なし!
世界ブランドメーカー インビザラインGOを利用!
高レベルの
クリンチェック 早く終わるマウスピース矯正!

治療開始前と治療中の患者さんの金銭的負担を最小限にするため、相談も治療中の調整料も0円!

クリニックでは、治療に必要な費用の全額を最初に提示する「トータルフィー制度」を導入しています。このため、基本的に追加料金はかかりません。

数あるメーカーから世界シェアを獲得しているメーカーを利用。安心して治療を受けていただけます。

当院はクリンチェックの質が高いため、他院よりも短い期間・少ない枚数で矯正を終わらせることが可能です。
費用面でも 安心 してほしいから
矯正「 専門医」 も 在籍しています。
0円
0円
0円
0円
インビザライン/Smartee
最大 96回分割も可
これらすべてを含めて、
以下の料金となっています。
PRICE 01

23.1万円(税込)〜 /月額 3,000円〜も可
各種クレジット払いに対応
デンタルローンに対応 最大 96回 までの 分割にも 対応
岡山県でマウスピース矯正・インビザライン矯正をお考えの方へ。「医療法人オーラルビューティー&ヘルスケア」では、痛みや不安などのストレスをできる限り少なくしつつ、ガタガタの歯並び(叢生)、出っ歯(上顎前突)、受け口(反対咬合)、すきっ歯(空隙歯列)、口ゴボなど、さまざまな歯並びの悩みに対応した矯正治療を行っています。また、患者さまのニーズに応じた部分矯正もご提案可能。土曜日も診療しているため、お仕事や学校で忙しい方も通院しやすい環境を整えています。
01

大学生や成人の方向けの
矯正紹介ページです。
02

40代以降の方向けの
マウスピース矯正治療を
紹介するページ。
03

通常よりも治療期間が
短いのが当院の特徴。
04

前歯、八重歯、すきっ歯
等の気になる箇所だけの
部分的な矯正。
05

治療後、歯並びが後戻り
した方向けの矯正プラン。
06

他院で矯正が失敗した方
向けの矯正プラン。
07

抜歯せずに矯正治療を
行うプラン。
08

他院でマウスピース矯正
はできないと言われた方へ。
マウスピース矯正メーカーの中には様々な
問題を引き起こす危険なものもあります。
特に「 低価格」・「 前歯だけ」・「 通院不要」等を
標榜しているメーカーです。
日本矯正歯科学会では次の注意喚起を行っています。
これらの製品を使用することは、
歯科医学的にも
非常に危険であるため、
絶対に避けてください。
COUNSELING カウンセリング
「無料」個別相談
マウスピース矯正に関して
「無料相談」を行っています。どのような事でもいいので、
気軽にお問い合わせください。
治療費や期間、リスクに関し
すべてお伝えいたします。
MESSAGE
症例数の多さは、
患者さんからの「信頼の証」
部分矯正から全顎矯正まで
患者さんのご希望に寄り添った
矯正を行います。

![]()
![]()
![]()
![]()
インビザライン認定医在籍で、どのような歯並びにも対応可能な「医療法人オーラルビューティー&ヘルスケア」。他院で「難しい」と言われた症例でも、豊富な治療実績をもとに最適な矯正プランをご提案いたします。また、歯並びを整えるだけでなく、Eライン・スマイルラインの獲得も考慮した矯正治療が可能。短期間での治療をご希望の方には、最短3カ月のスピード矯正プランもご用意しています。土曜日も診療。無料カウンセリングも対応しておりますので、まずはお気軽にご相談ください。