- 沼団地停留所3分
- 平日「夜21:00」まで診療
2年保証
最短3か月の矯正治療
23.1万円〜(税込)

月額1,925円(税込)〜も可
※分割手数料は別※税込
information


「短期治療」も可能です
矯正歴25年以上のドクター在籍
部分矯正から全体矯正まで対応





同じ症例で、経験が浅いDrと
熟練Drの 治療期間の比較を
してみました。

治療期間
2年半
で終了
×90枚
治療期間
1年
で終了
×30枚
同じ症例であっても算出されるマウスピースの数が異なり治療期間に1年6ヵ月の差が出ました。
これが「担当医の実力の差」
です。
CASES
※ 写真中央のスライダを左右にドラッグして画像を比較できます


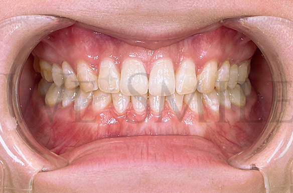
叢生の症例をマウスピース矯正で整えたケース


叢生・八重歯をマウスピース矯正で整えたケース


前歯がかみ合わない症例をマウスピース矯正で整えたケース


出っ歯をマウスピース矯正で整えたケース


正中のズレと開咬をマウスピース矯正で改善


矯正後に後戻りした歯並びをマウスピース矯正で改善





どうせならもっとキレイになりたい!

他院で失敗したらどうすれば…
とイメージされるかと思います。
せっかく、矯正歯科治療を行ったのに、矯正治療の本来の目的(美しい歯並び/噛み合わせ/顔貌変化)が達成できないまま、矯正治療を諦めてほしくありません。可能な限り少ない負担で再矯正をご提案いたします。相談は「無料」で行っていますので、まずはご相談ください。
相談無料+調整料=0円患者さん負担を最小限に!

ワンストップで
矯正可能! ※条件あり

世界ブランドメーカーインビザラインを利用!

ハイブリッド矯正マウスピースと
ワイヤーの使用!


患者さんの金銭的負担を最小限にするため、相談も診断料も0円!

定期的な通院を条件として、
治療後の後戻りを防ぐため2年保証を設けています。

数あるメーカーから世界中のドクターから評価の高い
メーカーを利用。安心して治療を受けて頂けます。

最初にワイヤー矯正で大きく歯を動かし、後半はマウスピース矯正で微調整を行うプランもあり。
費用面でも安心してほしいから

矯正「専門医」も在籍しています。
0円
0円
0円
矯正歴25年以上
インビザライン
最大60回分割も可
これらすべてを含めて、
以下の料金となっています。
PRICE01

23.1万円(税込)〜/月額 1,925円(税込)〜も可※分割手数料は含まない
各種クレジット払いに対応
デンタルローンに対応最大60回までの分割にも対応


福岡・北九州エリアでマウスピース矯正・インビザライン矯正をお考えの方へ。「まりん歯科・小児歯科医院」では、ガタガタの歯並び(叢生)、出っ歯(上顎前突)、受け口(反対咬合)、すきっ歯(空隙歯列)、口ゴボなど、さまざまな歯並びの悩みに対応した矯正治療を行っています。また、患者さまのニーズに応じたワイヤー矯正・部分矯正もご提案可能。平日から土曜まで診療しているため、お仕事や学校で忙しい方も通院しやすい環境を整えています。西鉄バス「沼団地停留所」徒歩3分、駐車場5台分あり。
01

大学生や成人の方向けの
矯正紹介ページです。
02

40代以降の方向けの
マウスピース矯正治療を
紹介するページ。
03

小学生、中学生、高校生向けのマウスピース矯正を紹介します。
04

通常よりも治療期間が
短いのが当院の特徴。
05

前歯、八重歯、すきっ歯
等の気になる箇所だけの
部分的な矯正。
06

治療後、歯並びが後戻り
した方向けの矯正プラン。
07

他院で矯正が失敗した方
向けの矯正プラン。
08

抜歯せずに矯正治療を
行うプラン。
09

他院でマウスピース矯正
はできないと言われた方へ。
マウスピース矯正メーカーの中には様々な
問題を引き起こす危険なものもあります。
特に「低価格」・「前歯だけ」・「通院不要」等を
標榜しているメーカーです。
日本矯正歯科学会では次の注意喚起を行っています。
これらの製品を使用することは、
歯科医学的にも
非常に危険であるため、
絶対に避けてください。
COUNSELINGカウンセリング「無料」個別相談
マウスピース矯正やワイヤー矯正に関して
「無料相談」を行っています。
どのような事でもいいので、
気軽にお問い合わせください。
治療費や期間、リスクに関し
すべてお伝えいたします。

MESSAGE
当院の矯正治療は、月1回の通院で
効率的に進めることができます。
25年の豊富な経験を活かし、患者さんに
最適な治療プランをご提案いたします。
また、矯正治療に対する不安や疑問を取り除くため、 徹底したカウンセリングを行っています。
さらに、短期治療も可能なので、
早く理想の歯並びを手に入れたい方にも
おすすめです。

![]()
![]()
![]()
![]()

インビザライン「プラチナエリート・プロバイダー」認定医在籍で、どのような歯並びにも対応可能な「まりん歯科・小児歯科医院」。他院で「難しい」と言われた症例でも、豊富な治療実績をもとに最適な矯正プランをご提案いたします。また、歯並びを整えるだけでなく、Eライン・スマイルラインの獲得、ガミースマイルの改善も考慮した矯正治療が可能。短期間での治療をご希望の方には、最短3カ月のスピード矯正プランもご用意しています。平日から土曜日まで診療。無料カウンセリングも対応しておりますので、まずはお気軽にご相談ください。西鉄バス「沼団地停留所」徒歩3分、駐車場5台分あり。