他院で矯正を断られた

24時間web予約 電話予約

キービジュアル
当院のコンセプト

難しい症例でも断りません!
なぜなら対応できるから!

画像
こんな理由で「断られた方」でも大丈夫!
  • 抜歯が必要
  • 歯周病が進行している
  • ブリッジが入っている
  • 入れ歯が入っている
マウスピースxワイヤー両方に対応
デンタルローンで負担軽減!

他院での矯正治療を「断られた方」へ

画像
画像
矯正治療は、子どもから大人まで幅広い年齢層の方々に対応できる治療法です。しかし、さまざまな事情や理由により、矯正治療を受けることが難しいとされる場合もあります。たとえば、次のような理由です。

歯周病が進行している
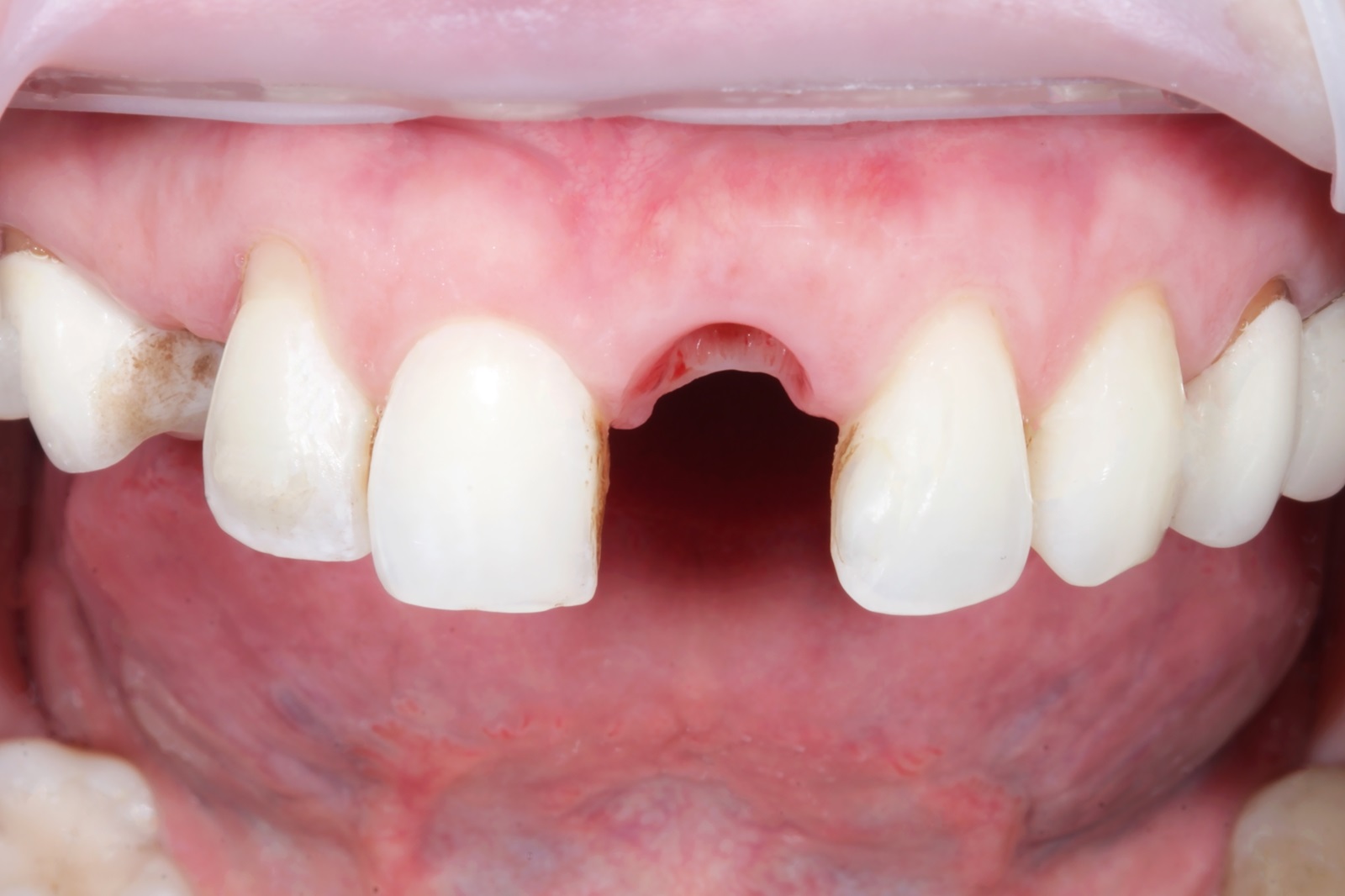
歯が抜けている箇所がある
ブリッジやインプラントがある
抜歯が必要なケース
これらの症状をお持ちの場合に、なぜ矯正治療を受けることが難しいと判断されるのか、その具体的な理由について詳しくご説明いたします。

ケース1歯周病が進行している

画像
歯周病が進行すると、歯を支える歯槽骨や歯周組織が大きなダメージを受けるため、矯正治療を行う際にいくつかの深刻なリスクが生じます。この状態で歯を動かすと、歯を支える基盤が不十分なため、歯が緩んだり、最悪の場合抜け落ちてしまう可能性があります。

また、歯周病による炎症が治まらないままだと、矯正治療に必要な力が適切に作用せず、期待される治療効果が得られない場合もあります。さらに、矯正治療によって歯に力を加えることで、炎症が進行している部分にさらなる負担がかかり、歯茎の状態が悪化するリスクも高まります。

ケース2歯が抜けている箇所が存在する

画像
矯正治療では、歯を動かす際に他の歯が重要な支えとなります。しかし、欠損歯がある場合、隣接する歯が傾斜したり動揺していることが多く、その結果として正しく矯正力をかけることが難しくなる場合があります。

さらに、欠損歯が存在することで、治療後の噛み合わせが不安定になるリスクも高まります。特に咬合バランスが崩れると、一部の歯や顎関節に過度な負担がかかり、顎関節症を引き起こす可能性があります。

ケース3ブリッジやインプラントがある

画像
インプラントは顎の骨にしっかりと結合されているため、矯正治療で動かすことはできません。矯正治療では歯全体を移動させて歯列を整える必要がありますが、インプラントが固定されたままだと、その周囲の歯の移動が制限される可能性があります。この制限により、理想的な歯並びや噛み合わせを実現するための治療計画に影響を及ぼす場合があります。

ケース4抜歯が必要なケースであり、マウスピース矯正では対応が難しいとされる

画像
抜歯が必要な矯正治療では、抜歯後に大幅な歯の移動が求められるため、治療の難易度が高まります。特に、歯を大きく動かす治療はワイヤー矯正が得意とされており、そのためマウスピース矯正では対応が難しいとされる場合があります。

さらに、奥歯や犬歯の位置調整においても、ワイヤー矯正の方が効率的であることが多い点も理由として挙げられます。

では、当院での治療方法は?

画像
他院で治療が困難と診断されたケースであっても、当院では治療が可能な場合があります。以下では、当院が提供する難症例向けの治療法について詳しくご説明いたします。

「歯周病」がある場合

画像
歯周病が進行しており矯正治療が難しい場合には、まず歯周病治療を優先的に行い、歯や歯周組織を健康な状態へ回復させることが必要です。当院では、一般歯科治療にも対応しておりますので、患者さんの歯周組織の炎症がしっかりと抑制されたことを確認した上で矯正治療を開始します。

「インプラント」などがある場合

画像
一部の歯が欠損している場合や、インプラントブリッジなどの補綴物が装着されている場合には、治療計画を慎重かつ詳細に立案することが重要です。具体的には、天然歯をどの程度移動させるのか、欠損部位をどのような補綴物で補うのかといった点を、矯正治療だけでなく補綴治療も含めて総合的に検討する必要があります。

当院では、矯正治療と補綴治療の両面からアプローチすることで、患者さんのお口の状態に最適な治療を行っています。

「抜歯」が必用な場合

画像
歯がデコボコに重なっている場合、矯正治療を行う際に抜歯が必要と診断されることがあります。しかし、当院では多くのケースで「非抜歯」での矯正治療を実施しており、他院で抜歯が必要と言われたケースでも、非抜歯で対応できることもあります

ただし、当院でも患者さまの症状や歯並びの状態によっては「抜歯」が最適と判断する場合があります。そのような場合でも、抜歯を理由に矯正治療を断ることはありません。

You矯正歯科 渋谷院の「特長」

矯正治療歴「30年以上」のドクターが在籍

You矯正歯科 渋谷院の理事長である、Dr.青山健一は30年以上にわたり矯正治療を行ってきました。特にこだわりを持って取り組んできたのが「非抜歯矯正」です。

非抜歯矯正は、歯を抜かずに自然な歯並びを整える治療法で、体への負担が少ないことが特長です。当院では30年以上前からこの治療を導入しており、多くの患者さんから「治療期間が短く、体調も改善した」といった喜びの声をいただいています。

矯正治療のハードルを下げた「価格設定」

矯正治療は自費診療となるため、費用面の不安をお持ちの患者さんもいらっしゃると思います。当院では、そうした患者さんの経済的不安を少しでも解消できるように治療前の診断料等はいただいておりません。
また、マウスピース矯正に関しては「調整料=0円」とし、矯正治療へのハードルを少しでも低くできるようしております。また、月々少額のお支払いで矯正治療ができるデンタルローンもご利用いただけます。

「最短」で治療ゴールを目指せる

矯正治療=期間が長い」というイメージをお持ちの方も多いかもしれません。しかし、当院では部分矯正非抜歯矯正など、患者さんのご希望に沿いながら、治療期間を短縮する取り組みを行っています。

また、クリンチェック後に歯科医師がお一人おひとりのお口の状態に合わせて調整することで、シミュレーション時よりも必要なマウスピースの枚数を減らせることもあります。

初診「個別」相談へのご案内

当院では、患者さんが抱えていらっしゃるお口のお悩みや疑問・不安などにお応えする機会を設けております。どんなことでも構いませんので、私たちにお話ししていただけたらと思います。
ご興味がある方は下記からお問い合わせください。

電話予約(受付時間 10:00〜18:00)0120-03-5535

24時間WEB予約

You矯正歯科 渋谷医院

  • 「渋谷駅」より3
  • 土曜」診療