
中村 祥子Shoko Nakamura
【経歴】
- 大阪歯科大学 卒業
- 大阪歯科大学 口腔外科 研修修了
- 医療法人 雅心会 入職
- ホワイトエッセンス京都四条通り矯正歯科 副院長就任
- ホワイトエッセンス梅田大阪矯正歯科 院長就任
- ホワイトエッセンス京都四条通り矯正歯科 院長就任
- WE渋谷公園通り矯正歯科 院長就任
【資格・所属学会】
- 日本矯正歯科学会
- 日本アライナー矯正歯科研究会

最短3か月の矯正治療
23.1万円〜(税込)
月額1,925円〜も可(税込)
※分割手数料は別
マウスピース矯正メーカーの中には様々な
問題を引き起こす危険なものもあります。
特に「低価格」・「前歯だけ」・「通院不要」等を
標榜しているメーカーです。
日本矯正歯科学会では次の注意喚起を行っています。
これらの製品を使用することは、歯科医学的にも
非常に危険であるため、絶対に避けてください。

マウスピース対応


インビザライン「ブルーダイヤ
モンドプロバイダー」認定
5000症例の実績
部分矯正から全体矯正まで対応

技術力の差

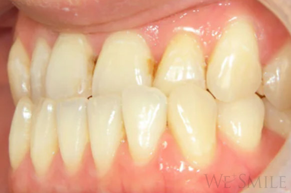
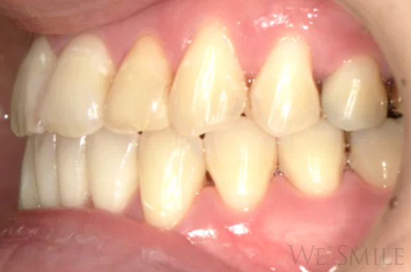
CASES
※ 写真中央のスライダを左右にドラッグして画像を比較できます


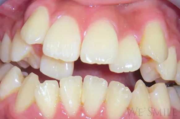
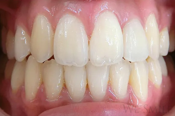
| 主訴 | 叢生(上の前歯がでこぼこしている) |
|---|---|
| 治療内容 | マウスピース型矯正装置(インビザライン) |
| 年齢 | 31歳 |
| 治療費用 | 648,000円 |
| 治療期間 | 2年1ヵ月 |
| 通院回数 | 18回 |
| 副作用 | 咬合痛、歯根吸収、歯根露出を生じる可能性があります。 |
| 治療の内容・ 詳細 |
右上の2番目を抜歯しているため、右上の前歯の審美性が1番・2番・3番の歯を並べるより若干劣っています。重度の叢生だったので抜歯は必要になりましたが、2年で見た目がきれいになりました。開咬も改善しています。妊娠期間もありましたが、2年で保定へ移行しました。 |


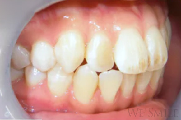
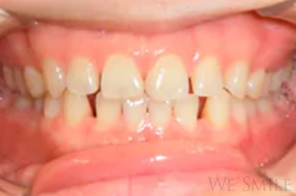
| 主訴 | 上顎前突(上の前歯が出ている) |
|---|---|
| 治療内容 | マウスピース型矯正装置(インビザライン) |
| 年齢 | 18歳 |
| 治療費用 | 698,000円 |
| 治療期間 | 1年1ヵ月 |
| 抜歯箇所 | なし |
| 副作用 | 咬合痛、歯根吸収、歯根露出を生じる可能性があります。 |
| 治療の内容・ 詳細 |
軽度の叢生のため、抜歯せず短期間で保定までできた治療例です。装置の装着時間しっかり確保できており、治療期間が短くなりました。ATT(一時的に歯につける突起)を使い、IPR(歯のすき間をつくる処置)を行なっています。 |


| 主訴 | すきっ歯 |
|---|---|
| 治療内容 | マウスピース型矯正装置(インビザライン) |
| 年齢 | 26歳 |
| 治療費用 | 767,800円(税込) |
| 治療期間 | 2年8ヶ月 |
| 通院回数 | 17回 |
| 抜歯箇所 | 非抜歯 |
| 副作用 | 咬合痛、歯根吸収、歯根露出が生じる可能性があります。 |
| 治療の内容・ 詳細 |
はじめすきまがかなりありましたが初診時に認めた隙間はしっかり閉じ切れておりご本人様からもお喜びのお声をいただいております。 |


| 主訴 | 出っ歯、開咬 |
|---|---|
| 治療内容 | マウスピース型矯正装置(インビザライン) |
| 年齢 | 20歳 |
| 治療費用 | 767,800円(税込) (相談・検査・診断料 無料、調整料 無料) |
| 治療期間 | 1年2ヶ月目 |
| 通院回数 | 10回 |
| 抜歯箇所 | 非抜歯 |
| 副作用 | 装着時間が少ないと治療期間が長引く可能性があります。他の矯正治療法と同様に、疼痛・歯根吸収・歯肉退縮の可能性や適切な保定をしないと治療後に後戻りすることがあります。 |
| 治療の内容・ 詳細 |
カスタムメイドで制作されたマウスピースを定期的に交換しながら少しずつ歯に適切な力をかけて歯並びを整えていく矯正治療です。 |


| 主訴 | 空隙、叢生、過蓋咬合 |
|---|---|
| 治療内容 | マウスピース型矯正装置(インビザラインライト) |
| 年齢 | 22歳 |
| 治療費用 | 396,000円(税込) |
| 治療期間 | 7か月 |
| 通院回数 | 6回 |
| 副作用 | 咬合痛、歯根吸収、歯根露出が生じる可能性があります。 |
| 治療の内容・ 詳細 |
初回アライナーで主訴の空隙と下顎叢生、過蓋咬合を改善、追加アライナーで再度調整して動的治療を終了いたしました。 |


| 主訴 | 下の歯が前に出ている、上の前歯叢生 |
|---|---|
| 治療内容 | インビザライン |
| 年齢 | 30歳 |
| 治療費用 | 767,800円(税込) |
| 治療期間 | 2年2か月 |
| 通院回数 | 21回 |
| 副作用 | 咬合痛、歯根吸収、歯根露出が生じる可能性があります。 |
| 治療の内容・ 詳細 |
骨格性Ⅲ級の方、下顎遠心移動メインに動かしていき、最終かみ合わせの調整とIPRを行い、保定に入りました。 ご本人様からも上の前歯がしっかり見えるようになりました!と喜びのお声をいただいています。 |

治療開始前と治療中の患者さんの金銭的負担を最小限にするため、相談も治療開始中の調整料も0円!

数あるメーカーから世界シェアを獲得している
メーカーを利用。安心して治療を受けて頂けます。

治療後の後戻りを防ぐため2年保証を設けています。
※マウスピース矯正の種類による

料金体系費用面でも安心してほしいから
経験豊富な歯科医師が在籍
0円
0円
0円
2年
インビザライン
スマーティーGS
これらすべてを含めて、以下の料金となっています。
PRICE01

23.1万円(税込)〜/月額 1,925円(税込)〜も可※分割手数料は含まない
各種クレジット払いに対応
デンタルローンにも対応

東京都渋谷区で安い・安価・低価格マウスピース矯正/インビザライン矯正なら「WE渋谷公園通り矯正歯科」。ワイヤー矯正にも対応。矯正専門医も在籍。小学生・中学生・高校生・大学生の歯列矯正、大人、シニア向けのマウスピース矯正の他、前歯の部分矯正、全体矯正、非抜歯矯正、短期スピード矯正、後戻りした歯の再矯正等の矯正メニューをご用意。矯正相談は無料です。
01

大学生や成人の方向けの矯正紹介ページです。
02

40代以降の方向けのマウスピース矯正治療を紹介するページ。
03
小学生、中学生、高校生向けのマウスピース矯正を紹介します。
04

通常よりも治療期間が短いのが当院の特徴。
05

前歯、八重歯、すきっ歯等の気になる部分の部分的な矯正。
06

治療後、歯並びが後戻りした方向けの矯正プラン。
07

他院で矯正が失敗した方向けの矯正プラン。
08

抜歯せずに矯正治療を行うプラン。
09

他院でマウスピース矯正はできないと言われた方へ。
口ゴボ改善Eライン獲得の効果も!?
Eラインも整えられたらな…
ロゴボを整えたい・・・
どうせならもっとキレイになりたい!
適応症例は限定されますが
Eラインも整うことがあります!

キレイなEラインを手に入れられることも!
Eラインとは、鼻先と顎先のラインのことです。このラインが獲得できると、バランスの整った顔立ち(フェイスライン)になります。かわいい、キレイ、かっこいい顔立ちですね。当院では、ただ歯をキレイに並べるだけでなく、顔貌の見た目も意識した矯正歯科治療を行います。
※適応症例は限定されます。
他院で失敗したらどうすれば…
とイメージされるかと思います。
せっかく、矯正歯科治療を行ったのに、矯正治療の本来の目的(美しい歯並び/噛み合わせ/顔貌変化)が達成できないまま、矯正治療を諦めてほしくありません。可能な限り少ない負担で再矯正をご提案いたします。相談は「無料」で行っていますので、まずはご相談ください。
COUNSELING
マウスピース矯正に関して
「無料相談」を行っています。
どのような事でもいいので、
気軽にお問い合わせください。
治療費や期間、リスクに関して
すべてお伝えいたします。

MESSAGE
これは患者さんからいただく、何より嬉しいお言葉の
一つです。
ご自身の歯を大切にする「ティースケア」という考えを
広め、皆様の健康で快適な毎日をサポートします。
あなたの笑顔がもっと輝き、毎日をより気持ちよく
過ごせるよう、私たちがお手伝いします。
渋谷でお会いできることをスタッフ一同、心より
楽しみにしております。
院長 中村 祥子
![]()
![]()
![]()
![]()
東京都渋谷区で安いマウスピース矯正/インビザライン矯正なら「WE渋谷公園通り矯正歯科」。土曜・日曜も診療。口ゴボ、出っ歯、すきっ歯、叢生、受け口、八重歯などすべての歯並び矯正に対応しています。相談は無料です。大人からシニア、そして子供の小児矯正にも対応。矯正治療の他、一般歯科も行っているので、矯正前の抜歯や虫歯・歯周病治療にも対応しています。土曜・日曜・祝日も診療。相談無料、調整料無料、保定管理料無料の総額提示方式(トータルフィー)。セカンドオピニオンにも対応。
矯正歯科治療には、以下のような一般的なリスクや副作用が生じる可能性があります。
あらかじめご理解いただいたうえで、治療を受けていただくことが大切です。
※上記は矯正歯科治療に伴う一般的なリスク・副作用であり、すべての方に生じるものではありません。
詳しくは初診相談時にご説明いたします。
